Почему появляются сколы зуба
Бывают разные обстоятельства и ситуации, в которых может отколоться зуб.

Самые распространенные из них:
- Механические травмы. Это могут быть удары, падения и прочие травмы, в ходе которых удар пришелся по зубу. Такое может произойти как при занятии спортом, так и при случайных падениях.
- Истонченная зубная эмаль, например, вследствие недостатка важнейших микроэлементов. Если зуб слишком истончен, даже банальный прием твердой пищи может привести к образованию скола.
- Запущенная стадия кариеса, когда от зуба остаются только стенки, а внутри него – крупная кариозная полость.
- Если у человека есть нарушения прикуса или беспокоит бруксизм — риск скола зуба значительно повышается.
- Чистка орехов и открытие бутылок с помощью зубов часто приводят к тому, что зуб ломается.
К чему может привести скол зуба
На самом деле, отколотый зуб — это не только нарушение эстетики. Если своевременно не устранить проблему и не восстановить целостность единицы — даже маленький скол может привести к разрушению зуба, повышенной чувствительности эмали, развитию кариозной полости. Дефект также может отразиться и на правильности смыкания челюстей.Если откололась часть переднего зуба — нужно уделить особое внимание выбору методики восстановления. Следует учитывать, что передние зубы — всегда на виду, и при улыбке, и разговоре, поэтому на реставрации передних единиц лучше не экономить. Задачей стоматолога в данном случае является идеальный подбор материала (коронка, композитные материалы, виниры). При этом оттенок должен четко соответствовать оттенку эмали.
Не переживайте, современная эстетическая стоматология позволяет восстановить целостность зуба незаметно для окружающих.
Что делать при появлении скола зуба
- Даже если скол невелик, не пробуйте «шлифовать» зуб самостоятельно, это может лишь усугубить ситуацию.
- После травмы необходимо прополоскать полость рта с помощью антисептических растворов.
- Проводите гигиенические процедуры максимально осторожно, воспользуйтесь более мягкой зубной щеткой.
Методы лечения скола зуба

В зависимости от клинической картины (какой зуб откололся, насколько обширно поврежден зуб), а также пожеланий пациента врач может предложить следующие варианты восстановления целостности зуба:
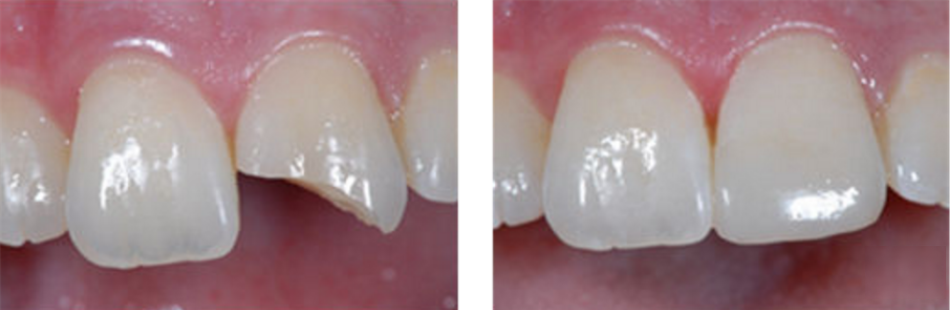
- Реставрация. Наиболее бюджетный вариант — реставрация зуба, которую проводят с помощью специальных композитных материалов. Проще говоря, это обычная пломбировка зуба, в ходе которой врач придает ему правильную форму. Этот метод актуален в том случае, если речь идет о небольших сколах. Подходит для передних, боковых или жевательных зубов.
- Установка коронки. Если откололась значительная часть зуба (более половины), врач может предложить установку коронок. Зуб предварительно подвергается обточке, после чего устанавливается коронка. Выбор материала зависит от материальных возможностей и пожеланий пациента. Способ фиксации коронки также обсуждается индивидуально.
- Мостовидные протезы. В случае, если повреждены сразу два стоящих подряд зуба, можно установить мостовидные протезы, которые представляют собой несъемные конструкции из нескольких искусственных коронок.
- Виниры. При сколе переднего зуба можно установить виниры на передние зубы. Это тонкие накладки, которые фиксируются сверху родного зуба. Эта методика восстановления актуальна в том случае, если скол составляет не более 30%.
Какая именно методика восстановления зубов подойдет в Вашем случае, зависит от исходного состояния родного зуба, финансовых возможностей, индивидуальных особенностей и предпочтений пациента. После очного осмотра ротовой полости врач предложит более подходящие для Вас варианты.
Профилактика скола зуба
Конечно же, ни один человек не застрахован от скола на зубе.Несколько рекомендаций, которые снизят вероятность повреждения зуба:
- Несмотря на то, что зубы способны выдерживать высокую нагрузку — не испытывайте их на прочность;
- Чтобы зубы были здоровыми и крепкими, не забывайте о гигиене полости рта, проводите чистку зубов дважды в день;
- Сбалансированное питайтесь, чтобы организм получал все необходимые витамины и минералы;
- Ешьте больше творога и других продуктов, обогащенных кальцием;
- Своевременно лечите заболевания полости рта и исправляйте патологии прикуса;
- Не забывайте о том, что стоматолога нужно посещать профилактически как минимум раз в год;
- Используйте специальную защитную амуницию во время занятий активными видами спорта.
Узнать более подробную информацию о способах лечения отколотого зуба можно на очном приеме у врача.
Будьте здоровы!

Для записи к доктору позвоните по телефонам:
+7 (831) 211-36-76, +7(952) 771-72-00
Напишите в WhatsApp, Телеграм, Viber:
+7 (952) 771-72-00
Всегда рады вам помочь!

